在我们的印象当中,“痛风”是一种中老年代谢疾病,年轻人是不会得的。可是近年来痛风的发病率越来越高,越来越年轻化,许多青年甚至是十五六岁的少年已经有痛风了。近期的一项研究发现,近60%的中国痛风患者在40岁之前首次出现痛风发作。早发男性痛风患者具有较高的高尿酸血症和较高的肥胖患病率。长期大量饮用碳酸饮料,其中糖分容易跟尿酸产生竞争性的抑制排泄,进而会造成尿酸在体内进一步蓄积而引起痛风高发。

近日,河南郑州,23岁女孩童童因为长期大量饮用可乐,患上了糖尿病酮症酸中毒,并伴有败血症、急性肾损伤等多种病症,危及生命。医生表示,年轻人患糖尿病逐渐增多,长期大量饮用碳酸饮料成为诱发糖尿病的重要因素之一。长期饮用碳酸饮料不光可能诱发糖尿病,还会影响钙的吸收,导致骨骼生长缓慢、骨质疏松等症状。

日前,武汉28岁的周先生到医院就诊,自述左眼视物模糊,眼珠子日渐发白,看起来像是没有黑眼珠,去朋友家做客还吓到了小朋友。医生检查发现,周先生左眼视力仅有0.12,角膜水肿严重,外表呈现出一片浑浊和白色状,且瞳孔、晶状体、眼底都看不见。医生了解到,周先生患有糖尿病几年,一直没有系统治疗,日常碳酸饮料当水喝。经测,周先生的随机血糖高达26mmol/L,高于正常值2倍,经过诊断为糖尿病引起的角膜水肿。药物治疗后,周先生复查显示,其左眼视力已经恢复至0.5,角膜透明,黑眼珠也逐渐显露出来。

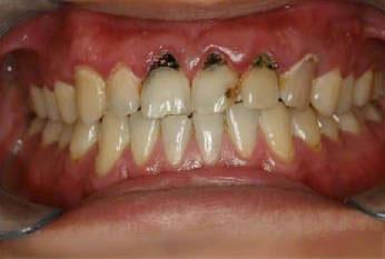
合肥26岁小伙长期拿可乐当水喝,每天少则1瓶多则3、4瓶,最终变成“可乐牙”,报废了10颗牙齿。

类似案例比比皆是!
什么是碳酸饮料?
“碳酸饮料”指的是加入了二氧化碳的饮料,但严格来说只是水、二氧化碳、碳酸氢钠的苏打水就不会有什么危害,有危害的主要是可乐、雪碧等含糖饮料。
虽然碳酸饮料深受大家喜爱,但要追求饮食有节,喝碳酸饮料要讲究个“度”。

长期饮用碳酸饮料的危害:
1、导致肥胖
经常喝容易使人发胖,过分摄入糖分可能引起人肥胖、代谢紊乱。碳酸饮料含糖量过多,饮料中过多的糖分被人体吸收后,就会产生大量的热量,长期饮用容易使人发胖。
2、引发痛风
人如果在原本高热量、高脂肪的饮食下再继续摄入大量碳酸饮料,身体负担就会加重,这必然会增加嘌呤代谢紊乱的概率。嘌呤本是人体中必不可少的一部分,正常情况下,人体每天产生的嘌呤数量能够保持平衡,但是饮用过量的碳酸饮料,就会导致嘌呤代谢紊乱,使嘌呤在体内的数量增多,无法及时排出体外。
3、导致胃肠疾病
碳酸饮料会极大的抑制人体肠胃中的细菌,时间久了可能会造成胃酸、腹胀、食欲下降,甚至造成胃肠功能的紊乱,进而引发胃肠疾病。
4、导致骨质疏松
碳酸饮料大部分都含有磷酸,大量磷酸的摄人,会影响钙的吸收,引起钙、磷的比例失调,如果奶制品又摄人不足,就很容易缺钙。一旦钙缺失,对于处在生长过程中的青少年身体发育损害非常大,缺钙无疑意味着骨骼发育缓慢、骨质疏松。
5、损害牙齿
这会软化牙釉质,对牙齿龋洞形成起到促进作用。很多青少年,尤其是儿童特别喜欢碳酸饮料中的甜味,但这种糖分对儿童牙齿的发育很不利。
怎样喝碳酸饮料才会减少对牙齿的损害?
①一口喝下去,不要含在嘴里;
②可以尝试使用吸管喝,不要让饮料在口腔内过多停留、接触牙齿;
③喝过碳酸及其他酸性的饮料要用清水漱口。除此之外,喝完碳酸饮料不要马上刷牙,至少过半小时后再刷牙。
最后,不谈剂量,只谈毒性无异于耍流氓。我认为碳酸饮料最大的危害在于无节制喝碳酸饮料的人,往往其他的生活作息也不够健康。比如意志力差、作息不规律、不爱运动等等,这些因素的共同作用才造成了对健康的危害。
以大多数人偶尔喝喝碳酸饮料的频次,其实难言危害。












最新评论
如果是真的那就太好了
现在是短视频的时代,认真做个人博客的很少见了,真是难能可贵。
拼多多砍几刀太烦了,一直让砍
投资就是认知的变现
不要把幸福建立在别人的痛苦之上
地震能把铁路都震弯
知道了
这样的问题居然还需要分析?但凡脑子正常点也知道公司无责