近日,英国、美国、加拿大、葡萄牙、西班牙、瑞典、意大利等多国报告新增猴痘确诊或疑似病例,美欧正在对此开展调查,并订购疫苗用以预防。

据悉,猴痘病毒是人类天花病毒的“近亲”,但猴痘感染症状较轻,天花疫苗也可预防猴痘,有效率在85%左右。上世纪70年代首次出现首例人感染猴痘病例以来,猴痘病毒主要在非洲中西部传播,其他地区患者通常有非洲中西部旅行史。本次全球多国出现的猴痘病例大多没有去过非洲,也没有接触过来自非洲的动物。
2022 年 5 月,全球共有100多起感染病例,其中大部分在欧洲(英国、西班牙和葡萄牙)。
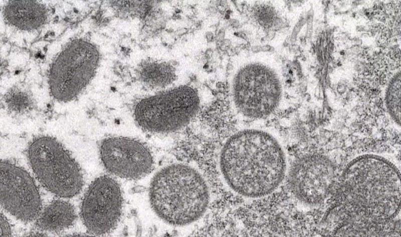
猴痘是一种由猴痘病毒引起的疾病,猴痘病毒是一种与人天花病毒天花同属的病毒。猴痘是一种人畜共患病,之前有零星暴发的记录,具有中度的人际传播、呼吸道传播和接触传播,包括性传播。临床模式与 1979 年根除的天花相似,但病情较轻。

这类天花患者的主要症状是:
- 溃疡性病变
- 皮疹
- 淋巴结增大
- 发烧
- 头痛
- 肌肉疼痛
- 疲劳
据CDC介绍,猴痘感染后存在约7至14天的潜伏期。最初的症状通常类似于流感,如发烧、寒颤、疲惫、头痛和肌肉无力,而后淋巴结开始肿大,这是“将猴痘感染与天花区分开来的一个特征”。“治疗通常是支持性的,因为没有特定的药物可用。但有疫苗可以用来预防。”英国伦敦卫生与热带医学院国际公共卫生教授吉米·惠特沃斯在一份声明中指出。

据报道,多名专家称猴痘病毒的传播需要与感染者密切接触。“人与人之间的传播主要通过大的呼吸道飞沫发生,而且由于这种飞沫通常只传播几英尺,因此需要长时间的面对面接触(才可能感染)。”CDC称,普通家用消毒剂可以杀死猴痘病毒。












最新评论
如果是真的那就太好了
现在是短视频的时代,认真做个人博客的很少见了,真是难能可贵。
拼多多砍几刀太烦了,一直让砍
投资就是认知的变现
不要把幸福建立在别人的痛苦之上
地震能把铁路都震弯
知道了
这样的问题居然还需要分析?但凡脑子正常点也知道公司无责